
Cardiac
Advanced Heart Diagnostics with Revolutionary CT Technology
What is Cardiac CT Imaging
Cardiac CT imaging is a non-invasive diagnostic technique that uses advanced computed tomography technology to create detailed images of the heart and coronary arteries. Our revolutionary CT scanner can capture the entire heart in just one rotation, providing exceptional image quality with minimal radiation exposure.
This advanced imaging technique allows for comprehensive evaluation of cardiac structures, coronary arteries, and heart function, enabling early detection and accurate diagnosis of various heart conditions.
KEY FEATURES
Ultra-Fast Scanning
Complete heart imaging in just 2 heartbeats with minimal motion artifacts.
Low Radiation Dose
Advanced dose reduction techniques ensure minimal radiation exposure.
High Resolution
256-slice technology provides exceptional detail for accurate diagnosis.
Benefits for Patients
Cardiac imaging plays an important role in both congenital and acquired heart diseases.
- Non-invasive alternative to cardiac catheterization
- Early detection of heart disease
- Comprehensive cardiac evaluation in minutes
- Advanced technology at affordable rates

Cardiac Scan 1

Cardiac Scan 2

Cardiac Scan 3

Cardiac Scan 4

Cardiac Scan 5

Cardiac Scan 6

Cardiac Scan 7

Cardiac Scan 8

Cardiac Scan 9

Cardiac Scan 10

Cardiac Scan 11

Cardiac Scan 12

Cardiac Scan 1

Cardiac Scan 2

Cardiac Scan 3

Cardiac Scan 4

Cardiac Scan 5

Cardiac Scan 6
Coronary Angiogram
A CT Coronary Angiogram is a non-invasive imaging test that uses a CT scanner, and contrast dye to create detailed 3D pictures of your heart's arteries, revealing plaque, blockages, or narrowing (stenosis) that can cause heart problems like chest pain.

Coronary Angiogram

3D Vessel Analysis
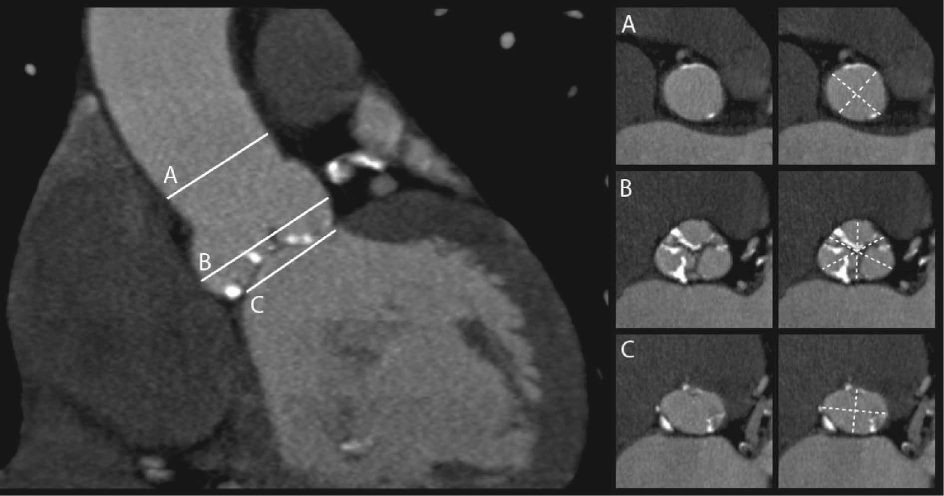
TAVI/TAVR
A TAVI (Transcatheter Aortic Valve Implantation) heart procedure, also known as TAVR, is a minimally invasive way to replace a diseased aortic heart valve using a catheter, avoiding open-heart surgery.

TAVI Procedure

Valve Replacement

Complete Analysis

TAVI Procedure

Valve Replacement

Complete Analysis
CARDIAC CT APPLICATIONS
CORONARY ASSESSMENT
- •Non-invasive coronary artery evaluation
- •Stenosis and blockage detection
- •Calcium scoring for risk assessment
STRUCTURE ANALYSIS
- •Heart chambers assessment
- •Heart valve evaluation
- •Congenital defect detection
ADVANCED FEATURES
- •Cardiac perfusion imaging
- •Myocardial viability assessment
- •3D cardiac reconstruction
Advanced Cardiac Care Awaits
Experience the future of cardiac imaging with our revolutionary CT technology. Schedule your cardiac evaluation today.
Book Cardiac Scan